Its also sometimes an effect of certain. Depression is a condition that affects 1 in 10 people in the United States.
Depression has many possible causes including faulty mood regulation by the brain genetic vulnerability stressful life events medications and medical problems.

How depression affects the brain. Depression goes beyond those flight paths and those airport buildings. Regions of the brain that are involved in reward processing are less active in depressed people. The latest research shows that the size of specific brain regions can decrease in people who experience.
It may physically change your brain. The term mental illness clearly indicates that there is a. How Does Depression Affect the Brain.
That number is determined by how many people seek treatment however. The thalamus is a large structure made of two symmetrical pieces. How Does Depression Affect the Brain.
There are also new links being made between inflammation and depression. Its important to remember that depression is not only about what happens within your brain. 4 Ways Depression Can Physically Affect the Brain Brain shrinkage.
Its believed that many who suffer from depression either do not receive treatment or dont let their. Depression is generally a type of mood disorder that causes emotional problems. Brain imaging studies using MRI scanning show that these common day-to-day depression symptoms are associated with abnormalities in specific areas.
It seems that more people in the world live with depression than ever before. Shrink of Prefrontal Cortex Located at the front of your brain the prefrontal cortex plays a big role in executive. Depression can cause headaches chronic body aches and pain that may not respond to medication.
Researchers have suggested that for some people having too little of certain substances in the brain called neurotransmitters could contribute to depression. People living with cognitive dysfunction say it feels like theyre lost in the fog. Shrink of Hippocampus The hippocampus is an important part of your brain and is usually considered the center of.
Normal activity in the brain is also disrupted in depression. Depression is more than feeling down. They forget things frequently and feel confused.
In Chapter 8 the point is raised how stress affects the MA ergic and the CRHHP A. Its believed that several of these forces interact to bring on depression. In fact according to the World Health OrganizationWHO an estimated 350 million people of all ages worldwide suffer from this mentally debilitating disease.
Restoring the balance of brain chemicals could help alleviate symptomswhich is where the different classes of antidepressant medications may come in. These effects are collectively called cognitive dysfunction Cognitive dysfunction means your brain is not working as well as it could. Named after the Greek word for seahorse hippokampos this seahorse shaped part of the brain is found in.
Major depressive disorder MDD is diagnosed when patients show 5 of the symptoms below on a daily basis for longer than two weeks. In people with depression the limbic system has had a disruption or overactivation. Here is a diagram of the affects of depression circled in red are different parts of the brain.
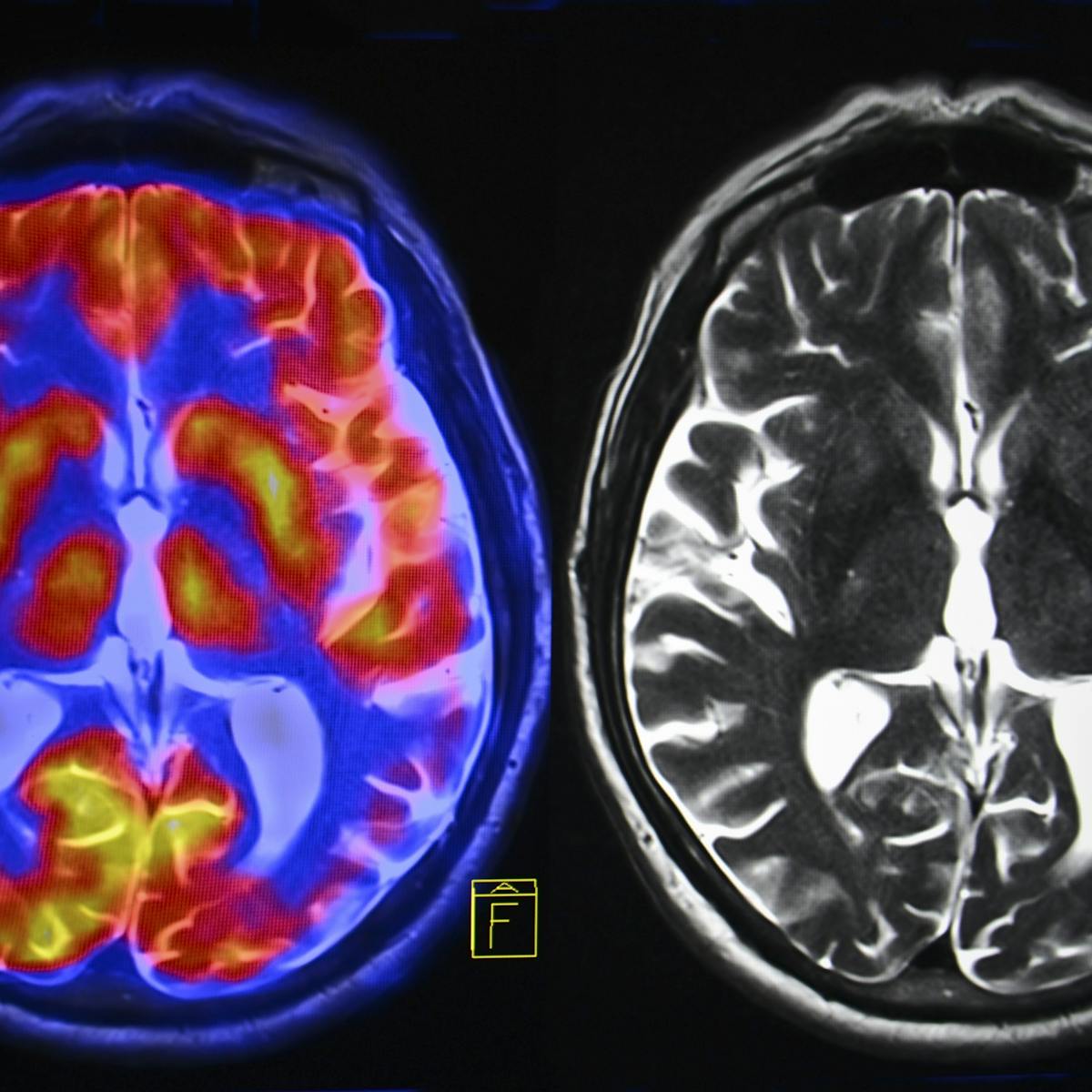
In turn these differences may affect the brains ability to process emotional stimuli and respond to new environmental stresses. Comparison of a depressed brain and a not depressed brain. Experts arent sure what causes these changes.
The symptoms generally affect the activities of daily living which can increase the intensity of depression symptoms. Depression can literally change your brain altering the neural pathways and synapses and shrinking the size of your hippocampus an area of the brain that. Most signs of depression involve feelings of sadness and hopelessness that linger in days to few years to some extent.
Your life outside of it matters too. This can affect how you think feel and act. De Kloet and J.
It affects your cognitive and emotional processes including but not limited to how you feel and act. Continuing feelings of sadness of hopelessness. Depression has a significant effect on your brain and memory.
052162147X - Stress the Brain and Depression - H. Several factors can interact with one another to trigger depression including ones genetic blueprint and stress levels as well as some medications. Depression is a vicious cycle.
Its still not clear.













No comments:
Post a Comment
Note: Only a member of this blog may post a comment.